Dit is een belangrijk onderwerp. Het is steeds duidelijker geworden dat ROKEN een zeer nadelige invloed heeft op de gezondheid van het tandvlees bij implantaten en bij eigen tanden. Helaas gaan er bij ROKERS veel mooie / gave tanden en implantaten verloren doordat ze “los gaan zitten”.
Ook in onze praktijk zien wij duidelijk dat tandvleesproblemen rondom implantaten voornamelijk bij rokers voorkomen.
Peri-implantitis is moeilijk te behandelen. Het is zeer lastig om een stabiel resultaat de krijgen, het stoppen met ROKEN moet absoluut in de behandeling meegenomen worden. Helaas blijkt het stoppen met roken voor veel rokers een zeer moeilijke opgave te zijn.
peri implantitis
[img src=https://www.implantologiedelft.nl/wp-content/flagallery/peri-implantitis/thumbs/thumbs_peri-2.jpg]2060
[img src=https://www.implantologiedelft.nl/wp-content/flagallery/peri-implantitis/thumbs/thumbs_peri-3.jpg]2850
[img src=https://www.implantologiedelft.nl/wp-content/flagallery/peri-implantitis/thumbs/thumbs_peri-4.jpg]2710
[img src=https://www.implantologiedelft.nl/wp-content/flagallery/peri-implantitis/thumbs/thumbs_peri-5.jpg]2590
[img src=https://www.implantologiedelft.nl/wp-content/flagallery/peri-implantitis/thumbs/thumbs_peri-6.jpg]2600
[img src=https://www.implantologiedelft.nl/wp-content/flagallery/peri-implantitis/thumbs/thumbs_peri-7.jpg]2430
[img src=https://www.implantologiedelft.nl/wp-content/flagallery/peri-implantitis/thumbs/thumbs_peri-8.jpg]2280
Peri-implantaire infecties
Peri-implantaire infecties (mucositis en peri-implantitis) komen steeds meer voor. Uit de literatuur blijkt dat peri-implantitis een steeds belangrijkere factor wordt voor verlies van implantaten. Gezien de invloed van aanwezige paropathogenen is het ontstekingsvrij maken van het parodontium voordat de implantaten worden geplaatst een essentiële stap in het implantologieprotocol.
Gezonde situatie
Belangrijkste kenmerken: • pocketdiepte tot 5 mm
Afhankelijk van de abutment-hoogte en mucosadikte kan de pocketdiepte rondom hoge abutments ook in een gezonde situatie dieper dan 5 mm zijn zonder opvallende bloeding / pus / botverlies.
Pseudopocket: Let op de röntgenfoto op de abutment -hoogte.
Mucositis
Belangrijkste kenmerken: • pocketdiepte (tot 5 mm) • Bloeding na sonderen • Zwelling
Peri-implantitis
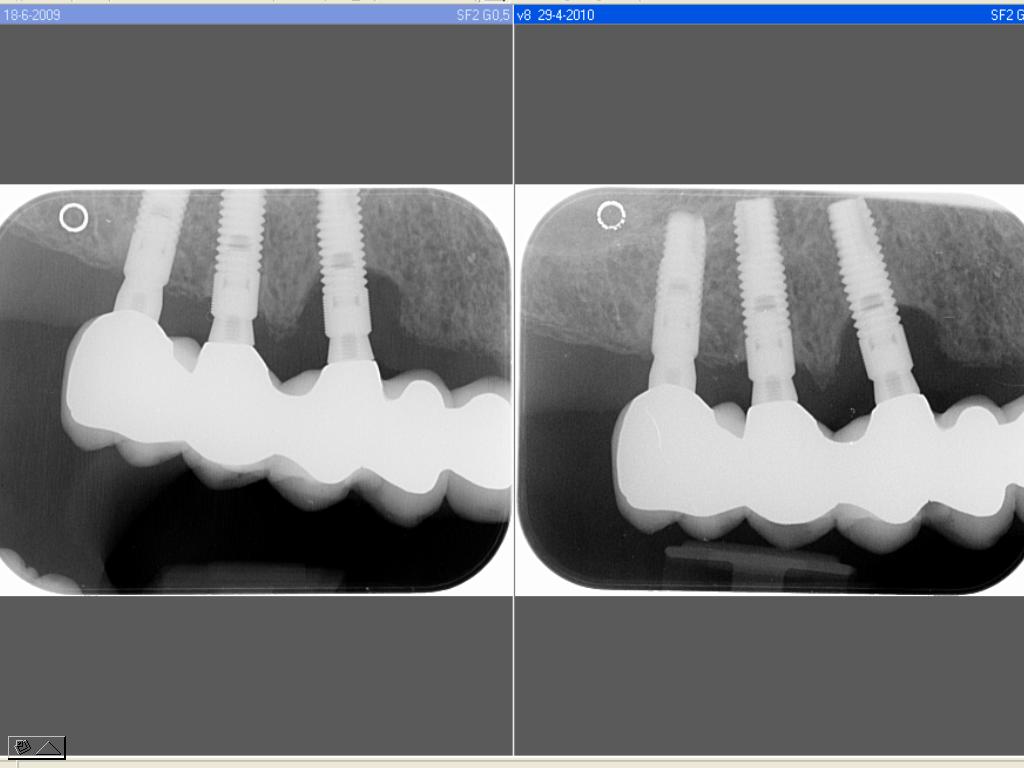
Belangrijkste kenmerken: • verticaal en/of angulair botverlies rond het implantaat • toename van de sondeerdiepte • bloeding na sonderen • pusformatie • roodheid en zwelling van de peri-implantaire mucosa • pijn en mobiliteit (In een laat stadium)
Peri-implantitis: multifactoriële aandoening
Peri-implantitis is net als parodontitis een multifactoriële aandoening waarbij bacteriën essentieel zijn, maar wellicht niet voldoende om de ziekte te veroorzaken. De bacteriën aangetroffen in peri-implantaire laesies kunnen ook worden aangetroffen bij stabiele implantaten.
Risicofactoren: • Roken • Parodontitis • Genetische gevoeligheid voor beide aandoeningen • Ongecontroleerde diabetes mellitus
Samenstelling subgingivale plaque: Anaerobe, door gramnegatieve bacteriën gedomineerde bacterieflora met belangrijke paropathogene bacteriën zoals Porphyromonas gingivalis, Tannerella Forsythensis en spirocheten. Voor zover nu bekend is de microflora bij peri-implantitis niet anders dan bij parodontitis.
Belangrijke parameters voor diagnostiek en evaluatie van behandeling van peri-implantaire infecties:
> sonderen van pockets ( ≥5mm, afhankelijk van de mucosadikte en abutmenthoogte) sonderen van aanhechtingsniveau (verlies van aanhechting) > bloeden na sonderen > pusvorming > meten van recessie > mobiliteit > meten van botverlies (röntgendiagnostiek) > bepalen van pathogenen (microbiologische diagnostiek)
Behandeling mucositis: Mucositis bij implantaten kan op dezelfde manier worden behandeld als gingivitis bij natuurlijke gebitselementen. Met behulp van een adequate mondhygiëne, mechanische plaque- en tandsteenverwijdering in combinatie met antibacteriële spoelmiddelen is de ontsteking meestal weg te krijgen.
Behandeling peri-implantitis:
Peri-implantitis is moeilijk te behandelen. Het is zeer lastig om een stabiel resultaat de krijgen, het stoppen met ROKEN moet absoluut in de behandeling meegenomen worden. Helaas blijkt het stoppen met roken voor veel rokers een zeer moeilijke opgave te zijn.
Er wordt hard gezocht naar betere technieken om peri-implantitis te behandelen.
De behandeling is in ieder geval gericht op:
> reduceren van de bacteriële belasting in de peri-implantaire pocket(s); > decontamineren en het conditioneren van het implantaatoppervlak; > reduceren/elimineren van plaatsen die niet plaquevrij kunnen worden gehouden door adequate mondhygiëne- maatregelen; > instellen van een effectief mondhygiëneregime om mucositis en herinfectie van de restpockets te voorkomen;
Technieken, instrumenten en materialen:
Gesloten techniek: : reiniging implantaat-oppervlak in combinatie met antibacteriële spoelmiddelen
Open techniek: Openklappen peri-implantaire weefsel met behulp van een flapoperatie: verwijdering granulatieweefsel uit botdefecten en met direct zicht reinigen van het implantaatoppervlak. Mechanische en chemische reiniging kan o.a. met: air abrasion, laser, citroenzuur, phosphozuur-etsgel, waterstofperoxide en chloorhexidine, echter het blijkt uit onderzoek dat met gaas het implantaatoppervlak schoonwrijven minstens even goed werkt.
Antibioticumtherapie: Het gebruik van een systemische antibioticumtherapie na mechanische reiniging van het peri-implantaire gebied kan een klinische verbetering geven van de conditie van de peri-implantaire weefsels en tevens de progressie van botafbraak stoppen of vertragen. Dit geldt niet in geval van peri-implantair botverlies bij afwezigheid van ontstekingsverschijnselen.